Startseite » Allgemein » Haare und Haarausfall » der "hauptschuldige"neben DHT
der "hauptschuldige"neben DHT [Beitrag #132038] :: Mo., 11 August 2008 22:13 Zum nächsten Beitrag gehen
Hallo Leute,
lest ihr Ami-foren?
WAS hält Ihr von der Vermutung(anscheinend gibts starke
hinweise in der wiss.community)das die Androstendione,v.a.
Androstendion(übersetzung kann leicht inkorrekt sein,bin kein
endokrinologe)neben DHT die Hauptursache für H.A.sind,würde
die erhöhung derer unter Dut.für das schlechte Abschneiden
erklären.
Mit grafik bei den Revivo-test an der künstlichen Epidermis
zu sehen,haben ja auch fin+dut genommen.
gruß,
Stealth


Den Beitrag einem Moderator melden

 Eine private Nachricht an diesen Benutzer verschicken  
 
Re: der "hauptschuldige"neben DHT [Beitrag #132213 ist eine Antwort auf Beitrag #132038] :: Di., 12 August 2008 19:37 Zum vorherigen Beitrag gehenZum nächsten Beitrag gehen
Kann ich nicht beurteilen. Das Thema hast du ja schon einmal angeschnitten...hast du vielleicht Links zu Studien oder ausformulierten Theorien?
Ich denke, selbst das wird dem komplizierten THema HA nicht gerecht werden, wenn man neben DHT einen weiteren "Verursacher" kennt. Es gibt wohl noch zahlreiche weitere "Player" in diesem "Spiel".


Den Beitrag einem Moderator melden

 Eine private Nachricht an diesen Benutzer verschicken  
 
Re: der "hauptschuldige"neben DHT [Beitrag #132454 ist eine Antwort auf Beitrag #132213] :: Do., 14 August 2008 21:44 Zum vorherigen Beitrag gehenZum nächsten Beitrag gehen
hi hammerhaar,
gruß und dank für dein interesse!
muß zugeben,die idee von HLT geklaut zu
haben,bin da auf eine aktuelle diskussion über
irgendwelche neue studien gekommen,die belegen das
gleich neben DHT ein oder einpaar,gibt ja nicht so
viele, metaboliten außer DHT DIREKT den Wurzeltod auslösen,
was man aber durch die fixierung auf dht erst jetzt bemerkt
hat,so ungefähr,stark verkürzt+vereinfacht.der hauptschuldige
wenn ich mich recht erinnere,ist der,den dut.neben testo
in die höhe treibt.was ja passen würde,denn theoretisch
hätte dut.sehr viel besser als fin.sein müssen,was ja nicht
der fall war.
außerdem ist man drauf gekommen,ob bewiesen weiß ich nimmer,
war kurz vor 1 in der früh,grad heimgekommen,ist das die,bei
denen minox nicht mal in den 1.zwei monaten wirkt,es nicht
in der k.haut in minoxSULFAT verwandelt wird,weshalb ein
ami-hersteller jetzt ein präparat mit fin.+minoxsulfat anbietet.
das kam alles,wie ich das suchwort pygeum eingegeben habe.
war eine heiße diskussion,muß mir mal zeit nehmen,das alles
fertig zu lesen.hätt ich auch schon,nur da ich kein minox nehme,
nicht so mein fall,das andere thema schon.
dann gings noch über die neuen sinere-versprechen,schau da jedenfalls bald wieder rein.der titel war glaub ich"DHT not the
(only)main culprit",oder ganz ähnlich,jedenfalls mit DHT und
"main culprit",tut mir sehr leid Dir nicht mit einem link weiterhelfen zu können.
Stealth


Den Beitrag einem Moderator melden

 Eine private Nachricht an diesen Benutzer verschicken  
 
Re: der "hauptschuldige"neben DHT [Beitrag #132461 ist eine Antwort auf Beitrag #132038] :: Do., 14 August 2008 22:09 Zum vorherigen Beitrag gehenZum nächsten Beitrag gehen
stealth schrieb am Mon, 11 August 2008 22:13

Hallo Leute,
lest ihr Ami-foren?
WAS hält Ihr von der Vermutung(anscheinend gibts starke
hinweise in der wiss.community)das die Androstendione,v.a.
Androstendion(übersetzung kann leicht inkorrekt sein,bin kein
endokrinologe)neben DHT die Hauptursache für H.A.sind,würde
die erhöhung derer unter Dut.für das schlechte Abschneiden
erklären.
Mit grafik bei den Revivo-test an der künstlichen Epidermis
zu sehen,haben ja auch fin+dut genommen.
gruß,
Stealth


http://www.antiagingnews.org/index.php?page=126
http://www.extrem-bodybuilding.de/berichte.php?aktiv=bericht e&select=1&id=18

hmm

Foxi

[Aktualisiert am: Do., 14 August 2008 22:10]




Den Beitrag einem Moderator melden

 Eine private Nachricht an diesen Benutzer verschicken  
 
Re: der "hauptschuldige"neben DHT [Beitrag #132463 ist eine Antwort auf Beitrag #132454] :: Do., 14 August 2008 22:20 Zum vorherigen Beitrag gehenZum nächsten Beitrag gehen
Das wird schon reichen, danke, stealth.


Den Beitrag einem Moderator melden

 Eine private Nachricht an diesen Benutzer verschicken  
 
Re: der "hauptschuldige"neben DHT [Beitrag #132465 ist eine Antwort auf Beitrag #132454] :: Do., 14 August 2008 22:22 Zum vorherigen Beitrag gehenZum nächsten Beitrag gehen
Zitat:

Hallo Leute,
lest ihr Ami-foren?
WAS hält Ihr von der Vermutung(anscheinend gibts starke
hinweise in der wiss.community)das die Androstendione,v.a.
Androstendion(übersetzung kann leicht inkorrekt sein,bin kein
endokrinologe)neben DHT die Hauptursache für H.A.sind,würde
die erhöhung derer unter Dut.für das schlechte Abschneiden
erklären.
Mit grafik bei den Revivo-test an der künstlichen Epidermis
zu sehen,haben ja auch fin+dut genommen
.
gruß,
Stealth


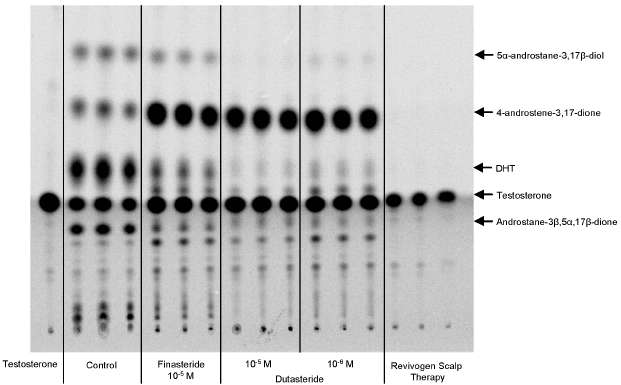
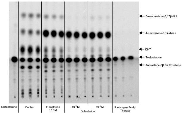
Du meinst diese grafik?

index.php/fa/4940/0/



  • Anhang: RV.jpg
    (Größe: 20.57KB, 637 mal heruntergeladen)

Den Beitrag einem Moderator melden

 Eine private Nachricht an diesen Benutzer verschicken  
 
Re: der "hauptschuldige"neben DHT [Beitrag #132478 ist eine Antwort auf Beitrag #132465] :: Do., 14 August 2008 22:56 Zum vorherigen Beitrag gehenZum nächsten Beitrag gehen
Ganz genau,Benutzer! Applaus
Danke fürs rüberladen,bist echt auf zack!
gruß,
Stealth Wink
p.s. die 4-androsten-3,17-dione,da sieht mans doch
echt deutlich,die runde geht an die jungs von HLT.
@Hammerhaar,ich geh jetzt rein+versuchs zu finden,kommt
nix,hab ich es nimmer gefunden,hab aber guten ansatzpunkt(search:pygeum).

[Aktualisiert am: Fr., 15 August 2008 16:05]


Den Beitrag einem Moderator melden

 Eine private Nachricht an diesen Benutzer verschicken  
 
Re: der "hauptschuldige"neben DHT [Beitrag #132480 ist eine Antwort auf Beitrag #132461] :: Do., 14 August 2008 23:01 Zum vorherigen Beitrag gehenZum nächsten Beitrag gehen
Foxi,
ich wills ja nicht nehmen,im gegenteil!
Aber trotzdem Danke für die Links,einfach u.gut verständlich
ausgedrückt!
gruß,
Stealth


Den Beitrag einem Moderator melden

 Eine private Nachricht an diesen Benutzer verschicken  
 
Re: der "hauptschuldige"neben DHT [Beitrag #132482 ist eine Antwort auf Beitrag #132463] :: Do., 14 August 2008 23:04 Zum vorherigen Beitrag gehenZum nächsten Beitrag gehen
Keine Sorge,Hammerhaar!
Fortsetzung war nicht geplant,wußt ja nicht das du
das alles schon weißt.
Stealth


Den Beitrag einem Moderator melden

 Eine private Nachricht an diesen Benutzer verschicken  
 
Re: der "hauptschuldige"neben DHT [Beitrag #132506 ist eine Antwort auf Beitrag #132482] :: Fr., 15 August 2008 09:27 Zum vorherigen Beitrag gehenZum nächsten Beitrag gehen
Sorry, mein Post war missverständlich. Ich habe gemeint, dass man mit deiner Beschreibung sicher den Thread von HLT finden kann.

Habe es auch versucht...bin aber noch nicht fündig geworden. Wenn es ein aktueller Thread ist, stoße ich aber sicher noch drauf.


Den Beitrag einem Moderator melden

 Eine private Nachricht an diesen Benutzer verschicken  
 
Re: der "hauptschuldige"neben DHT [Beitrag #132554 ist eine Antwort auf Beitrag #132506] :: Fr., 15 August 2008 16:22 Zum vorherigen Beitrag gehenZum nächsten Beitrag gehen
Ich habs versucht,DEN Artikel rauszusuchen,
aber bei "search:DHT+main culprit"kommen über 30 Seiten
raus,wo info über das thema u.ähnliche sind,die ich noch garnicht
gelesen habe,SORRY Hammerhaar,es ist Freitag,draussen pissts
in Strömen+meine Freundin pennt schon wieder,Zeit ins
Bett zu kriechen,nicht sauer sein,o.k. Wink
p.c.out,gruß,
Stealth


Den Beitrag einem Moderator melden

 Eine private Nachricht an diesen Benutzer verschicken  
 
Re: der "hauptschuldige"neben DHT [Beitrag #143358 ist eine Antwort auf Beitrag #132038] :: Mi., 03 Dezember 2008 11:09 Zum vorherigen Beitrag gehenZum nächsten Beitrag gehen
@stealth

Hat sich irgendetwas neues in dieser Diskussion, was die Vermutung betrifft, daß 4-androsten-3,17-dione ein Hauptschuldiger am HA sein könnte, auf den Amiboards ergeben.

Wenn ich das richtig interpretiere, besagt diese Theorie, daß dieser Metabolit einen schädigenderen Einfluss auf die Haarfollikel ausübt, als die Hemmung von DHT mit z.B. Dut an beiden Typen wieder gut machen kann? Daher die schlechten Ergebnisse unter Dut?

Kann es die schwindende Front unter Fin erklären?

Was gibts neues?


by egg

p.s: I love my avatar Cool


Den Beitrag einem Moderator melden

 Eine private Nachricht an diesen Benutzer verschicken  
 
Re: der "hauptschuldige"neben DHT [Beitrag #143361 ist eine Antwort auf Beitrag #143358] :: Mi., 03 Dezember 2008 11:37 Zum vorherigen Beitrag gehenZum nächsten Beitrag gehen
by egg schrieb am Mit, 03 Dezember 2008 11:09

@stealth

Hat sich irgendetwas neues in dieser Diskussion, was die Vermutung betrifft, daß 4-androsten-3,17-dione ein Hauptschuldiger am HA sein könnte, auf den Amiboards ergeben.

Wenn ich das richtig interpretiere, besagt diese Theorie, daß dieser Metabolit einen schädigenderen Einfluss auf die Haarfollikel ausübt, als die Hemmung von DHT mit z.B. Dut an beiden Typen wieder gut machen kann? Daher die schlechten Ergebnisse unter Dut?

Kann es die schwindende Front unter Fin erklären?

Was gibts neues?


by egg

p.s: I love my avatar Cool



ob die Ergebnisse so schlecht sind??

ich hab einige angemailt und würde sagen 80% davon sagen Dut hilft sehr gut!
und warum zum Teufel fressen die Bodybuilder zu 90% Dut
die sagen alle das es besser wirkt als Fin
nur über die stärkeren NW's wird geklagt

zum Beispiel aus dem Bodybuilderforum

ich kann nur eins zu den originalen duta sagen. ich dosiere mit 1mg pro tag und das zeug wirkt wunder. ich fahre 1mg testo die woche und meine haare sind wieder richtig dick geworden. meine geheimratsecken füllen sich wieder auf weil die paar haare wo da noch waren auch dicker geworden sind. ich kann echt nur sagen 1a das zeug. von den oben genannten nw. hab ich bis jetzt gar nichts gemerkt. ich fühl mich einfach nur gut. ach ja und zu den pickeln: habe in meinen letzten kuren immer sehr viele gehabt. durch duta sind es jetzt echt nur noch einzelne, die ich aber mit antibiotischer creme, zink, und einmal pro woche peeling in den griff kriege. ich kann das duta nur jedem empfehlen der probs mit seinen haaren hat. fina. habe ich selbst noch nie probiert deshalb kann ich auch net sagen was besser ist.
gruß

Den Beitrag einem Moderator melden

 Eine private Nachricht an diesen Benutzer verschicken  
 
Re: der "hauptschuldige"neben DHT [Beitrag #143369 ist eine Antwort auf Beitrag #143361] :: Mi., 03 Dezember 2008 12:12 Zum vorherigen Beitrag gehen
Sorry Foxi, habe mich schlecht ausgedrückt!
Meinte schlechte Ergebnisse im Verhältnis zur erwarteten Wirkung, da es ja Typ 1 und 2 hemmt, und man erwarten könnte, daß es so Wunder bewirken könnte, wenn für HA alleine DHT verantwortlich wäre (mal abgesehen von bekannten HA-Gründen wie Eisenmangel usw.).

Sehe ich doch richtig, daß dieser Metabolit unter Fin und Dut deutlich erhöht ist, und in der Kontrollgruppe, auch synthetisiert wird, aber deutlich weniger.

Also bewirkt Fin und Dut einen Überschuß an diesem Metaboliten, dessen möglicher negativer Einfluß auf die Haare hier im Thread ja diskutiert werden soll.



Den Beitrag einem Moderator melden

 Eine private Nachricht an diesen Benutzer verschicken  
 
Vorheriges Thema: Weiss wer was von Tino?
Nächstes Thema: Newbie hat ein paar Fragen bezügl. Haaruasfall
Gehe zum Forum:
  


aktuelle Zeit: Mi. Dez 10 05:09:40 MEZ 2025

Insgesamt benötigte Zeit, um die Seite zu erzeugen: 0.00565 Sekunden
Letzte 10 Themen



Videos / Infos
Video Schuppen / seborrhoisches Ekzem



Partner Hairforlife FUE EUROPE